![]()
● も っ と も 新 し く 更 新 さ れ た 情 報 を 閲 覧 す る
破折する歯の95%は上顎の裂肉歯(P4)とよばれる大きな歯です。こちらが破折する場合、原因はほとんどが硬い物を噛んだことによります。骨などは歯石がおちると考えがちですが、歯の破折、歯の表面を覆っているエナメル質の破損、胃内異物など内臓的な問題の原因を引き起こしいいことは何もありません。
たとえば新車も車を購入したとしましょう。これを毎日アキレスでこすったとしましょう。たしかに泥のかたまりは除去できるかもしれませんが、車体は傷だらけですし汚れやすくなります。こんなことからも歯の表層を傷つけるほど硬いものは何のメリットもないのです。
*下記は歯の種々の部位とダイヤモンドの硬さを比較した表です。歯の表層はダイヤモンドに匹敵する硬さをもっているともいえます(実際の強度とはひっかき係数だけではなく、曲がりに対する強さetc種々のことを組み合わせて考えますが、ここでは便宜上、ひっかき係数のみを扱います)
人間も動物も体内の中で一番硬い場所は歯の表層(エナメル質)です。この歯の表層は場所にあって厚みが異なるなるのですが、人間では最大の場所で2.5mmあり、動物ではラブラドールレトリバーにおいて1.2mm程度です。つまり噛む力は小型犬であっても人間よりも強いのに、歯の表層のエナメル質が薄いのですから折れて当然ともいえます。
| ダイヤモンド | 歯の表層(エナメル質) | 歯の内側(象牙質) | 爪 | |
| モース硬度 | 10 | 7 | 5 | 3 |
| モース硬度とは「ひっかき係数」とよばれひっかいた時の傷に対する硬度です。「高い」ほど「硬い」といえます。 |
||||
また噛む力(咬合力)は犬種によって異なり、咬合力が強い犬種ほど破折しやすいといえます。ただし一定限度を超えた大型犬種になると破折は非常に減少します。たとえば体重30kg以上になると歯自体が強くなり、折れにくい傾向になるといえます。10kg前後になってくると咬合力が強い割には歯自体の強度は強くないためにもっとも折れやすいのではないかと考えます。2〜3kgの小型犬種における破折が少ないことは、小型だからご家族が骨などをあげないように気をつけているのか、咬合力が弱いのかいずれかであると思いますが、これら小型犬種では、蹄をあげたとしても、噛む前に飲み込んでしまい、歯の問題というよりもむしろ異物としての消化器の問題になっているように思います。
問題な事に、ほとんどが縦(地面に対して垂直方向)に割れてしまいます。特に歯の並びの関係上フレンチブルやパグでは深く破折し歯を残す治療ができないこともあります。ワンちゃんにおける愉しみであり、フラストレーションの解除方法のひとつであるため、できるかぎり残してあげるという事が大切であると思います。
歯を折ってしまう(割ってしまう)原因としては「アキレス」「ヒヅメ」「ヒマラヤチーズ」「鹿の角」「木を噛む」「石を噛む」「ケージを噛む」「インテリアを噛む」にいずれかにほぼはいります。逆にいえば、これ以外の原因は非常にまれです。
2009年度以降にはなってしまいますが、当院で治療されたワンちゃんの破折統計をとってみました。実際には、種々の理由により(年齢など)治療をご希望にならない患者様もいらっしゃいます(最終更新 2015/3)
当院のデーターベースソフトは「治療された患者様のみ」がPICK UPされてしまうため、破折で診療をうけたのみの件数はカウントできません。実際の破折頭数は数倍多いと考えられ、破折という疾患自体は非常に多いといえます。
| NO | CANIE BREED | COUNT |
| 1 | ミニチュアダックス |
27 |
| 2 | 柴犬 | 11 |
| 3 | コーギーペンブローク |
11 |
| 4 |
トイ・プードル | 9 |
| 5 | ジャックラッセルテリア | 6 |
| 6 | フレンチブルドッグ |
5 |
| 7 |
日本犬 MIX | 4 |
| 8 | ボーダーコリー | 4 |
| 9 | チワワ |
3 |
| 10 | イタリアングレーハウンド |
3 |
| 11 | ボストンテリア |
3 |
| 12 | スピッツ |
3 |
| 13 | ビーグル |
2 |
| 14 | キャバリア |
2 |
| 15 | ポメラニアン |
2 |
| 16 | ミニピン |
1 |
| 17 | グリフォン |
1 |
| 18 | ノーフォークテリア |
1 |
| 19 | ラブラドール・レトリバー |
1 |
| 20 | コッカースパニエル | 1 |
●考察
・ミニチュアダックスは人気犬種であるという事もありますが、体の体格の割には咬合力が強いということが最大の原因ではないかと思います。
・破折を起こしている子には歯周病が少ないという点があげられます。歯科の治療を多くしている獣医師がいうことではありませんが、破折をしている子とは歯周病にあまりならず、「もし破折さえなければ、たとえ一生に一度も歯のクリーニングやホームケアを行わなかったとしてもあまり歯において悩む点は少ないのではなかろう」かと思います。通常、ミニチュアダックスは歯周病傾向が強く、特に高齢になれば多くの方が歯周病、口臭で悩んでいらっしゃいますが、破折でご来院されたミニチュアダックスにおいてはこの傾向がほぼ皆無であることからもそれは証明されるのはないかと思います。
(★2015記載★)
・柴犬、コーギー、ジャックラッセルに関しては咬合力もさることながら、硬い物が好き。噛むこと自体が好きということが原因ではないかと思います。
・4番目に入るトイプードルですが、通常は小型犬種に入るトイプードルがこのランクに入るのは特筆すべき点ですが、前述の咬合力の事で考えれば小型犬であるために咬合力が弱いために破折は生じにくいはずなのに折れています。トイプードルで破折が生じるのは、トイプードルの歯の強度自体が低いのではないかと考えております。また破折が生じるトイプードルは割と体重が多い(理想体重4kg以上など)個体に多い傾向があります。
・スピッツについてはどうでしょうか。決して飼育頭数が多いとはいえないのに、2件のかたが当院で治療されていらっしゃいます。スピッツの飼育頭数はミニチュアダックス(27頭)の1/9(3頭以下)よりもはるかに少ないのにも関わらず、3件いらっしゃるのです。私の個人的な意見ではありますが、とにかくスピッツは咬合力が強い。これにつきると考えます。
・ラブラドールの破折は少ないわけではないのですが、硬い物を噛んでいる割合に対しては少ないといえます。つまり前述のとおり、ある一定限度以上の体重をもつ個体においては「歯自体の強度が強い」と考えます。それと上記のラブラドールの件数が少ないことの理由がもう一つあります。それは大型犬では破折による二次的病変(根先膿瘍)が同じ折れたミニチュアダックスの子に比較して少ないということがあげられます。つまり、折れたのに病状が進行しない。あるいは進行が遅いこともあるといえます。そんな理由から治療を行っていないためにカウントされていないと考えるわけです。
・以前は人気犬種にも関わらずチワワが破折に入っていないということを注目の点としてあげましたが、それから3年後の2015年の今回の統計においては3頭の方が破折により来院され手術をなさいました。やはりMDXの頭数に近い人気犬種であるにも関わらず破折という点においては非常に少ないことは特筆すべき点であると思います。チワワには怖くて蹄や骨をあげられない。それも考えられる要因ですが、やはり全体的に咬合力が弱い犬種ですので、折れるよりも飲み込んでしまう傾向にあるといえます。そんなことから、破折が少ないのではないかと思います。
(★2015記載★)
上記の考察は当院独自の考察になります。日本の飼育頭数、あげているご飯やおやつ、生活様式、いろいろと重なって上記の結果になっているのではないかと思います。したがって、ジャーナル、教科書などとは内容が一部異なることがございます。ご了承ください。
●折れないためにはどうすればよいか?
・ご自身(飼い主のかた)が噛めるモノと考えられれば折れません。
・ハサミで切れる(カット/切断)できるものでは折れません。
● 歯の破折 1:歯髄治療が適応である破折法
歯の破折方向が地面に対して平行です。このような場合には、虫歯の治療を行うことで今後の再発を防げます。このような割れ方をした場合には、積極的に治療を行い、後に生じる根先膿瘍を予防することが必要です。
● 歯の破折 2
このような破折を起こした場合、歯髄の治療を完璧に行ったとしても、破折部位が歯肉に到達しているために、歯肉辺縁から深部への菌の侵入が予想されます。このような場合、①抜歯 ②前述の方法と同様の歯髄治療。のいずれかが選択されますが、裂肉歯とは「噛む」ことに重要であるために、当院の場合、①の抜歯を選択することはきわめてまれになります。
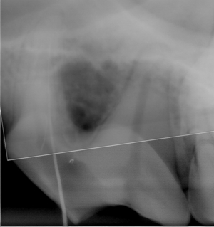
こちらは破折した歯が接着したままであるために、歯髄が露出しているかどうかが不明な症例です。レントゲンにて確認し、深部に到達しているかどうかを確認します。![]()
● 歯の破折 3 : 根先膿瘍の放置による目の下の開放創
根先膿瘍は放置することで目の下に穴が空くことがあります。


この3枚の写真に示されるように①は根先部に膿瘍が認められます。②は膿瘍部分に黄色く色づけをしてみました。③は逆サイドの正常な写真になります。![]()
● 歯の破折 4 : 切 歯 の 破 折
真ん中の歯が折れています。
折れた部分を黄色でトレースしています。
![]()
根管治療とは、歯の中に存在する神経に対する治療をいいます。ヒトでそうであるように、あまりに安易な抜髄(神経を抜くこと)は歯の寿命と強さを減弱させます。しかしながら痛み、放置による神経への感染が生じている場合には神経の処置が必要です。
当院の歯内療法(根管治療)手術件数です。開業当初は12年で109件とまだまだ少ないですが、ここ10年はその3倍である360件の歯内療法を行っております。これは飼い主様がワンちゃんと接する中で、「きちんと毎日食事をかめて生活させてあげたい!」というお気持ちの表れではないかと思います。
| 日 付 | 歯 内 療 法( 根管治療手術件数 ) |
| 2003/6/15 - 2015/2/28 | 109件 |
| 2015/3/01 - 2025/2/23 |
360件 |
ヒトのような虫歯は大変少なく、通常は玩具による破折により生じた虫歯が大半をしめます。破折後8時間で「虫歯」となるために、できるかぎり早く病院へ行くことが大切です。遠方の方ではまずはお近くで抗生物質を処方していただくとよいでしょう。ヒトで歯医者にかかると、なにか口のなかをガリガリと削られ、そのあとに苦い薬をつけられて、1週間後に来院というイメージがあると思います。当日は、お口の中をみると虫歯の部位は、「白いかぶせ物」がしてあると思います。1週間後に再度、歯医者にかかると、そのかぶせ物をとられ、一部をインレーとよばれる「銀色の詰め物」をされると思います。ペットでも治療はなんら変わりません。異なる点といえば、虫歯の治療には必ず全身麻酔が必要になるという事です。簡単な虫歯であれば、ヒトと同様、虫歯部位を削り取り、詰め物をします。虫歯が深ければやはり神経を抜く(抜髄)という処置になります。当院では、クラウンダウン法という方法を用いておりますが、初回のアクセスを電動の低トルクエンジンで、その後は時と場合によりますが、ハンドファイルにてアクセスおよび治療していきます。ペットにもっとも生じるP4破折においては、3アクセスポイントがありますが、2つは非常にわかりやすいのですが、小型犬では3つ目のアクセスポイントが非常に難解なことがあります。アクセスポイントは光重合レジンで被覆し終了いたします。
青:アクセスポイント 緑:破折部位
青:アクセスポイント 緑:破折部位
青:アクセスポイント 緑:破折部位
青:根管のアクセスポイント
各々の根管にファイルを挿入し根管長を測定
ペーパーポイントにて根管を乾燥
ポータブルレントゲンによる術中写真
...
術後の写真 充填( 赤ラインは根先部 )
麻酔なしのレントゲンにおいては2本が重なり一本に見えることもあります。
下記に5つの例を記載してみました。5kg / 20kg / 10kg / 5kg / 5kg
…
…
…
ISO 35 16mm / ISO 35 11mm / ISO 70 15.5mm
● 激 し い 破 折 を 生 じ た 歯 の 根 管 治 療
前述の裂肉歯の破損がより深い位置に生じた場合を想像してみましょう。根管治療とは根を掃除するわけです。下水道の内側にこびりついた錆を丸ヤスリによって清掃することを考えてみます。たとえば下水管を1の太さの丸ヤスリで清掃した場合、下水管の太さに比較して丸ヤスリが細ければまったく錆を落とすことはできませんね? そのような場合、1より太い2の太さの丸ヤスリを入れて掃除することとなります。もしそれでも周りが掃除できなければより太い3の丸ヤスリを根管内に挿入します。ここで一つの問題が生じます。太い丸ヤスリを入れれば入れるほど下水管の内壁の錆をキレイに落とすことはできるかもしれませんが、場所によっては下水管を破損してしまうかもしれません。これを根管治療に置き換えて考えますと、「強い割れ方をしている歯に関しては今回治療の最中に見えない部位(歯肉内)で根管が破損する可能性がある」ということです。
それではイラストを見てみましょう。1は通常の破折です。オレンジ色の玉は錆です。赤のラインは歯茎のラインです。錆をとるために根管治療を行い完成したイラストが2になります。
続いて強い割れ方をしているイラストが3です。3のイラストの左下に注目ください。オレンジの錆をとるためにより太い丸ヤスリを入れてしまうと、ある段階の太さにおいて歯肉の中(見えないところ=赤のラインより上)で歯が破損してしまうことがわかります。ですから、歯肉を切り上げることで、破損部位を明確にすることが必要です。
では実際の症例を見てみましょう。
…
まず、黄色いラインは実際の歯肉のラインを示しております。青のラインはレーザーを使用して歯肉を切り上げたラインを示しております。水色のラインは歯肉粘粘膜境界部であり、切り上げることのできる最大の位置(一番上)を示しております。
術後の写真になります。
医療的事項
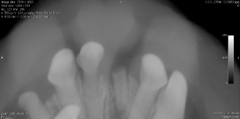
根管治療は大変難しい手術です。上記のような手術を行うのに約2時間15分から2時間30分を要します。多くのワンちゃんでは破折片があるためそれを取り除き、歯をクリーニングすることから手術が開始します。根管のアクセスについては、まずは注水タービンによるおおざっぱな掘削を行った後、注水エンジンにて慎重に掘削を続けます。最終的には超音波によるアクセス法を用いて、ストリップパーフォーレーション(破損)をおこさないように頬側2本の根管にアクセスします。
頬側遠心根から0.25〜0.5mm近心部位に舌側遠心根が存在します。以前は3kg位のワンちゃんでは3本の根管へのアクセスが不可脳ということもありましたが、超音波アクセスおよび注水エンジンを用いることで現在では、体重に関係なくほとんどの個体で3本の根管へのアクセスが可能となりました。
根管を拡大していくためには、まずエンド三角を掘削します。エンド三角の掘削には、トルクコントロール付きコントラアングルを用いてゲイツもしくはオリフィスオープナーなどのニッケルチタンファイルを用います。このエンド三角を削り取ることで、ファイルに対するプレッシャーが軽減されファイルは根先まで容易に届くようになります。
常法にしたがい、拡大および超音波洗浄を繰り返しアピカルシートを作成します。その後、ペーパーポイントによる乾燥を終え、ガッタパーチャポイントによる垂直加圧充填を行います。
レントゲンでは根先部を斜めから撮影するために上記のように作成したアピカルシートは根先よりおよそ1mmくらい上部(歯冠側)に描出されます。上記は頬側遠心(30 - 15.1mm)、舌側遠心(25 - 12mm )、近心(30 - 15mm)にて形成を終了しております。
● 抜 髄 に 関 す る セ カ ン ド オ ピ ニ オ ン
今回は一般の患者様向けというよりは獣医師の先生方向けのお話になります。抜髄をする際に、焦りがあったり、無理があったり、根管に対する角度に不手際があるとファイルに破損が生じます。ファイルが破損した場合、その破折部位より上位(上顎の場合)の神経は残るために根尖膿瘍の可能性を残し、やはり目の下に穴が開くリスクが依然として残ります。もし破折してしまった場合には、そのまま閉鎖や抜歯をせずに、ファイルの除去というチャレンジを行うことが重要となります。
(ご依頼の先生はお気軽にご連絡ください)
動物病院におけるファイルの破折に対して今回セカンドオピニオンとして診療する機会がございましたので順を追ってご説明いたします。
まずは残存ファイルのある根管を見ていきましょう。
画像の丸で囲ってある部分に破折したファイルが認められます。
根管の位置を実際に想像してみることが大切です。根管のアクセスした部位からはより遠位であることがわかります。デンチンの厚さを想像しながら探っていきます。またこの位置にはもう一本の根管が存在するために削っていくこと、探すことに専念しすぎるとパーフォーレーションを起こし、もう一本の根管口を見失う可能性があります。ですから、折れたファイルを探すことへの焦りを捨て、まずはもう一本の根管拡大を終了させ、確実にその根管をとらえられるようにすることが大切です。

かなり削りましたが、この状態で初めて破折ファイルを目視することが可能となります。レントゲンではわかりやすいのですが、およそ0.5~0.8mmを見ることが可能です。
少しづつ超音波などで周辺を掘削しファイルを動揺させます。
無事に摘出し新たなファイルを入れた状態です。
それでは今回入れたファイルと以前ファイルを入れられた状態の角度を比較するために画像を重ねて表示してみましょう。


正しくファイルを入れた方向と最初にファイルを破折させた角度を見ると、折れたファイルはかなじ前方から根管口に入っていることがわかります。このような現象は、最初に根管へアクセスする際、歯をあまり削らずに行おうとしたために、急角度にファイルが曲がって根管口へ突入したために破折したことがわかります。下記に示すように、青でファイルを挿入すると折れますが、黄色の位置から挿入すると折れることはありません。根管に対してできる限りまっすぐにいれることのできるアクセスを行うことが重要です。
この症例のガッタパーチャ挿入後の写真です( レジン処置前 )
確実な根管充填ができています。

● 感 染 根 管 の 治 療
破折した歯を放置すると根尖膿瘍を起こすことがあります。ただすべてが下記写真のように穴が開くわけではなく(目頭より少し鼻端部位の数cm下)、すべての犬種で破折した場合にはこのようなリスクを伴うものの、なりやすい犬種となりにくい犬種がいます。このように絶対とはいえないところが難しいところです。例えばこの手術を施すと2時間30分overの長期麻酔になるわけですが、はたして14歳、15歳の子にそういったことをすべきか? という問題があります。
折れた時期が明確でありそれが7年前だったとしましょう。現在14歳の子に長時間麻酔をかけて感染歯髄の抜髄を行うべきでしょうか? 答えに正解はないと思いますが、ほとんどの方は放置するか抜歯を選択することでしょう。私も同じように考えますが、最終的には患者様が決めることです。
逆にヒトならば1年でも入れ歯になる時期が延びるのであれば、ほとんどのかたが喜んで感染根管の治療を受け入れることでしょう。
目の下に穴があくこと=歯の疾患ではありません。当院の過去の事例ではレントゲン撮影時に「歯の問題で目の下が腫れた可能性は極めて低い」と判断し、細胞検査をしたところ腫瘍であった例もありますので、先入観はもたず下記の順番に診療をすすめることが重要です。
例)主訴:目の下が腫れています or 穴があいています
① 歯の問題なのかそれ以外の原因なのかを鑑別
② 歯が原因とされた場合、上顎P4に由来しているのかあるいはP4とM1の間の歯周病のどちらが原因か?
③ いつ折れたか? A:不明 B:かなり前(5年以上前など) C:きわめて最近(数日)
④ 年齢、病歴、現在持っている病気の確認
⑤ 犬種を考えて目の下に穴があきやすいかどうかを当院の裁量で判断。
治 療 方 針 と そ の 考 え 方
A 放 置 す る
放置後は定期的に検査をする。
腫れたときだけ薬を服用する。
この方法は教科書的にはナンセンスかもしれません。たとえば重度の心臓病、あるいは非常に高齢などいろいろな問題があった時に麻酔のリスクを考えて天秤にかけた時、これが最良の選択肢となる場合もあるのではないかと思います。
B 抜 歯
基本的には抜歯をすればすべて治癒すると考えております。
※ 例外について
かかりつけの先生のもとで目の下が腫れているということを治療するために多種、大量、長期の抗生剤をすでに使用していた場合、すべての感受性試験(どの抗生剤が効果的かをみる試験)に陰性を示していた例がありました。この例においては抜歯をしても早急な解決がみられず最終的にはトレチノイントコフェリルの外用治療の併用により治癒までにおよそ2〜3ヶ月治癒された例があります。ただ現段階では一例のみです。
C 感 染 根 管 治 療
すべての例に完全な治癒が認められるわけではありません。つまり目の下の穴が完全になくなるとは限りません。それは我々は根管の先端までは治療できても先端以降を治療することはできないからです。少なくとも歯の中はクリーンであるということがひとつのゴールになります。根管3本のうちの2本までならば顎骨を削ってアプローチして先端部分だけを切断する方法もあります(根先端切除術)
感 染 根 管
目の下に穴があいており膿汁が漏出しております。
左上顎P4の根尖膿瘍が認められます。
感染根管治療を行います。
術後10日:写真ではわかりにくいですが穴は塞がり完治しています。
上記は患者様のご協力により掲載させていただきました。
● MTAによる覆髄法 露髄における抜髄あるいは抜歯以外の第3の選択肢
覆髄(ふくずい)とは、神経が露出した露髄根管を塞ぐ方法です。ペットの場合、神経が歯の表面近くを走行しているため硬い物を噛んで歯が折れるとすぐに露髄してしまいます。特に上顎の奥歯(P4)の破折においては大多数の例で露髄(神経が露出している)してしまいます。
この露髄に対して、
①露髄したら抜歯
②露髄したら抜髄(神経を抜くこと)
の2つの選択肢があります。これは正しい選択肢です。
例えばヒトを例にとって考えてみましょう。小さな虫歯の治療で歯医者さんを訪れたら「神経を抜きましょう」といわれたり、「小学生のお子様(やっと永久歯が生えた)に虫歯があるから神経を抜きましょう」といわれたらちょっと躊躇したくなりますよね。やはり親心としては、「これから何十年も使う歯なのに神経を抜くの?」と思うことでしょう。ただ前述のように露髄したら抜髄は基本正しい治療法なのです。ヒトにおいて神経を残す治療は露髄が歯の表面から近く(浅く)限局しており成長過程にある歯(根未完成歯)において行われることが一般的であり生活歯髄切断法とよばれます。ただ一定の条件を満たす場合には成人においても神経を残す治療が一部の歯科医の先生方によって行われております。
当院でも全例には適応はできませんが、あくまで下記の条件を満たす時には、抜髄せずに神経を残すという方法が適応となることがあります。
○神経を残せる可能性がある条件
・神経に細菌感染がないこと:ただしレントゲンで診断できる範囲に限る。
・神経の一部が外界に露出してから来院までが短い症例
・「痛み」という症状がないこと。つまりペットにおいては「食べ方」に変化がないということ。
○続いて抜髄もしくは抜歯が適応となる症例について考えてみましょう
・目の下が腫れている。
・あきらかに「痛み」がある。ペットにおいては「食べるとき」に首をかしげることが多い。
・破折時期が不明で、見るからに古い病変である。
・レントゲンであきらかに根先病巣がある。
・視診にて歯髄が壊死している。神経の色の変色など。
・地面に対して垂直に割れており、その割れ方が深く歯髄に達し歯肉縁下に及んでいる場合
○抜髄のデメリットについて考えてみましょう。
・歯の神経を抜髄すると枯れ木になる。歯の寿命は短くなる。象牙質への栄養供給
○上記の「神経を残せる可能性がある条件」と「抜髄/抜歯が適応となる症例」についてまとめてみます。
・症状があって露髄 :抜髄適応
・症状がなくて露髄 :レントゲンと視診、露髄からの時間を考慮し場合によっては抜髄しない。
・症状があって露髄してない:抜髄しない。
・症状がなくて露髄してない:抜髄しない。
さて、上記の条件を満たし運良く抜髄をしなくてもよい症例ということになった場合、当院ではヒトの保険外診療にあたる「MTAセメント」による覆髄法を実施しております。ヒトの保険診療における覆髄法は水酸化カルシウムという製剤を使用しますが、この製剤に比較し、MTAセメントは下記の様なメリットがあります。
・デンティンブリッジ(※1)が水酸化カルシウムの約3倍量形成される。
・水酸化カルシウムよりも封鎖性、生体親和性が高いセメントである
・新生硬組織誘導性をもつ(水酸化カルシウム能)
・強い炎症細胞の抑制能
・生体に害がない
・水分があってもかたまる(※2)
・手術時間が抜髄よりも短く、金額的も抜髄に比較して安価である。
※1 デンティンブリッジ:様々な刺激に対する生体の防御反応として歯髄の細胞が歯髄腔に作る二次的な象牙質のこと。
※2 実際には神経保存の場合には歯髄からの出血をコントロールするのが非常に困難。
○MTAによる覆髄法のデメリットは以下の通りです。
・強固なデンティンブリッジを形成するために再治療が技術的に難しい。
・見えない範囲(深さ)で感染していた場合、抜髄を行わずに埋めてしまうような事があれば、後々に目の下が腫れたり穴が開いたりすることがある。
最終的にはご家族のご判断ではありますが、当院では犬種、年齢を考慮し、推奨される方法をご提示いたします。

![]()
前述の根管治療に「かぶせ物」という言葉が出て参りましたが、これを「インレー」といいます。ヒトでは保険治療と保険外治療の差として、かぶせ物が「銀色」だったり、「歯と同じ色」だったりするとおもいます。ペットにおけるインレーは現実的ではありません。というのは、ヒトはすりつぶして食事を食べる動物であるために、インレーの方向は上顎であれば真下、下顎であれば真上を向いております。ところが、ペットの場合、歯は交互であり、かつ、歯髄のアクセスポイントは横を向いております、ということから、想像していただくと、ヒトの銀色の詰め物が横を向いている形となってしまいます。これでは、食事をしり、おもちゃで遊んだ際に、すぐに外れてしまいます。そこで、このインレーの欠点を補うのがクラウンです。歯全体にかぶせてしまえば、上顎でも下顎でも接着率が高く、外れることが少なくなります。ただし、咬合力が非常に強いワンちゃん。当院においては、柴犬の子で外れる可能性が高く、30kgを超過したラブラドールにて銀歯クラウンごと半分に割れた例があります。
また元の歯よりも強固であるために、基本的には歯を折った原因となった玩具で再度遊ばせるという事も可能です。
● ク ラ ウ ン 施 術 法
破折・感染歯髄を処置します。
光重合レジンにて処置後、被覆します。
1枚目の写真よりも歯が小さくなっているように見えると思います。これは、通常の歯の上にクラウンをかぶせてしまえば、そのために歯全体が大きくなってしまい、噛んだ時に下の歯(M1)との咬合に異常をきたします。そのため、クラウンショルダーとよばれるカットを施し、その後に、咬合を行い、クラウンを重ねかみ合わせたときにも影響が出ないようにします。
続いて、正常の歯(逆サイド)の石膏模型を作成し、それを反転させ、さきほどのショルダーにクラウンをかぶせた場合にでも下顎の歯との影響がでないようにします。つまり、歯は破折したものの、逆サイドを反転させるために、元と同様の形にて修復が可能です。まれに逆サイドもすでに破折場合がありますが、その場合には、経験に基づき、おおよそ、元の形を想像し造形して作成いたします。
製作されたパラジウムクラウンです。パラジウム以外に白やジルコニウム(セラミック)での作成は可能ですが、ワンちゃんにおきましては、咬合力が強いために再度の破折が危惧され、通常は費用対効果のよいパラジウムにて作成いたします。

クラウンショルダー部を作成したために、クラウンの後ろの歯(M1)との影響がなく、もちろん下顎のM1との影響がなくクラウンが設置されます。(ミニチュアダックス)
● 重 篤 な 破 折 に お い て フ ィ ル ピ ン を 用 い て 歯 を 再 建 し た 症 例
前述までと同様のP4の破折ですが、遠心根(より喉に近い部位)を激しく損傷し歯肉に埋まってしまった子です。飼い主様はなんとか歯を残したいという希望を持っていらっしゃったのでピンを立てて歯を再建いたしました。
*上記画像内に説明があるように本来は「白線のライン」まで歯があったと予想されます。
*青い部分は歯肉内であるためレーザーでカットしなければ天井(頬側面)が歯肉内で破損します。

*フィルピンとは何でしょうか? 例えば家を建てるときに平地の上にそのまま家を建てたら台風がきたら一発で吹き飛んでしまいます。家を立てる際は地面にボルトをたててそれを支柱として家を建てます。これと同じく残存している歯の部位にボルトを立てて歯の強度を高めます。

*まずは大雑把にレジンをフローとペーストで固めていきます。続いてクラウンを作るための支台を構築しますが、場所や形が非常に不明瞭であるため、逆サイド(健康歯)を見ながら左右を反転させたコピーを作るつもりで構築していきます。

*パラジウム(銀歯)を作成し、二回目の沈静をかけて接着します。十分な強度を有しています。
![]()
● ク ラ ウ ン の 種 類
クラウン装着の際には色を選択することが可能です。多くの患者様にとって歯の色調へのこだわりというものは少ないと考えられますが、「汚れやすさ」と「強度」という点については気になるところではないかと思います。いわゆる「 白い歯 」にはエステニア、メタルボンド、e-max、ジルコニア、ハイブリッドと多くの種類が存在しますが前者2つは強度の問題で獣医領域では使用することが躊躇されます。
| ビッカース硬度 | 曲げ強度 | |
| ジルコニア | 1400Hv | 800-1500MPa |
| e-max |
590Hv | 400MPa |
| 天然歯 = もとの歯 | 270〜366Hv |
80〜90MPa |
| 銀歯(パラジウム) | 227Hv | 600MPa |
| レジン(1回法) | 55Hv | 75MPa |
| 犬の場合上下のかみ合わせの関係上、硬すぎる素材による摩耗は考慮しません。 |
||
| 素材名 | 各素材の特徴 メリット |
各素材の特徴 デメリット |
||||||||||||||||
| ジルコニア | 最強。白色 | 2回の麻酔。金額。 | ||||||||||||||||
| e - max | 天然歯より強い。白色 | 2回の麻酔。ジルコニアと同じ金額で中途半端 | ||||||||||||||||
| パラジウム合金( 銀歯 ) | 天然歯に近い強度 | 2回の麻酔。金額。銀色であること。 | ||||||||||||||||
| レジン | 一回の麻酔ですべて完了 | 折れやすい、摩耗しやすい、汚れやすい | ||||||||||||||||
動画につきましては上顎P4の抜髄の後にe-max(A1)のクラウンを設置したものになります。







H O M E
歯 科 医 療 に つ い て
歯 の 破 折
根 管 治 療
M T A
ク ラ ウ ン